
AI
NYC Health + Hospitals CEO Envisions AI Replacing Radiologists in Public Health System
4/1/2026
Vulnerabilities
Critical Vulnerability in Grassroots DICOM (GDCM) Library Exposes Medical Imaging Systems to Remote Code Execution
3/25/2026
Machine Learning
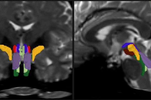
AI Breakthrough Enables First Detailed Mapping of Brainstem White Matter Pathways
2/10/2026