A technologist's quest to cure his partner's rare brain tumor exposes gaps in medical research and ignites a controversial experiment with AI-driven science.

The Unseen Epidemic of Medical Uncertainty
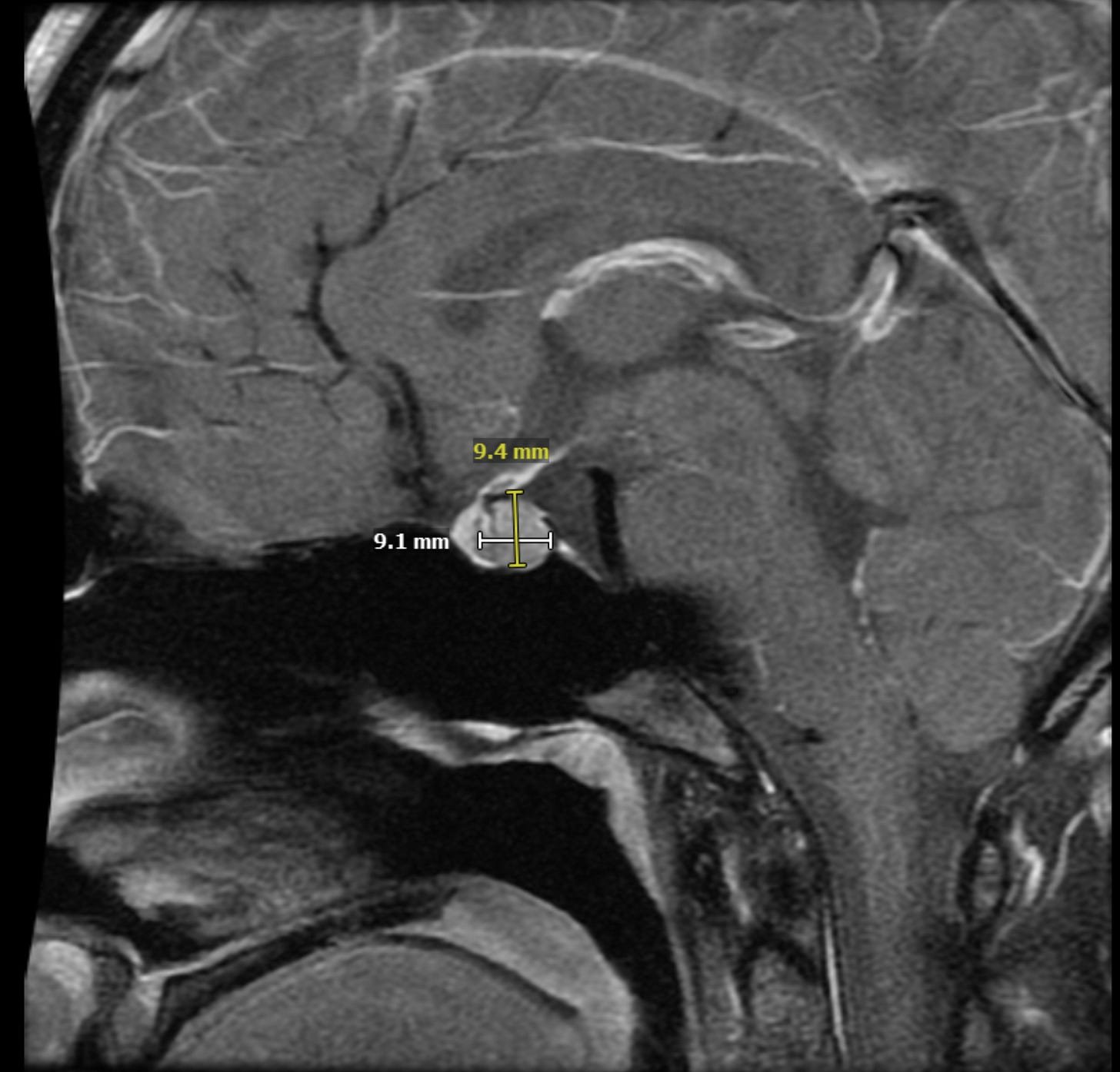
When Andrew Rodriguez noticed subtle changes in his girlfriend Amy's health—fatigue, missed periods, dwindling bone density—doctors dismissed it as stress or burnout. Six months later, an MRI revealed a prolactinoma: a pituitary tumor overproducing prolactin at 16x normal levels. Their journey through two failed surgeries and conflicting expert opinions reveals a harsh truth: even "solved" diseases harbor devastating unknowns. This experience became the catalyst for a radical experiment: Can AI-driven research democratize medical breakthroughs?
First MRI showing Amy's prolactinoma (Credit: Andrew Rodriguez)
When Standard Care Isn't Enough
Prolactinomas affect roughly 50 per 100,000 people, often deemed "chill" for their slow growth. Yet Amy's case defied textbooks:
- A rare posterior pituitary tumor inaccessible to routine surgery
- Prolactin levels surging post-operation despite 90% resection confidence
- Contradictory interpretations from top specialists about residual tissue
Current treatments—dopamine agonists like Cabergoline or high-risk repeat surgeries—carry debilitating side effects. As Andrew recounts: "'Standard of care' often means 'the least bad option we currently have.'" The couple now faces agonizing uncertainty about fertility and hereditary risks, with Amy's mother potentially having had a similar tumor.
The AI Scientist Gambit
Andrew's background in biophysics research (Columbia's Zuckerman Institute) and VC work at Side Door Ventures positions him uniquely. His approach leverages emerging "AI scientist" systems that can:
- Ingest thousands of papers on prolactinoma pathways
- Generate testable hypotheses about tumorigenesis triggers
- Simulate drug interactions beyond human cognition limits
Amy pre-surgery (Credit: Andrew Rodriguez)
Critics argue medical research requires domain expertise no AI can replace. Dr. Elena Martinez, a neuroendocrinologist unaffiliated with the case, cautions: "While AI accelerates data parsing, validating biological mechanisms still needs wet-lab experimentation. Citizen science risks oversimplifying complex pathophysiology."
The Broader Techbio Movement
This personal mission intersects with booming investment in AI-driven biology:
- Recursion Pharmaceuticals' $50M NVIDIA partnership for AI drug discovery
- DeepMind's AlphaFold revolutionizing protein structure prediction
- Open-source tools like Hugging Face's bio-models enabling smaller teams
Yet adoption faces hurdles: clinical validation delays, regulatory skepticism about AI-generated insights, and computational costs. Andrew counters: "If a motivated researcher with undergrad biology training and open-source tools can advance understanding, what excuses do institutions have?"
Ethical Fault Lines
The experiment raises provocative questions:
- Bias Risk: Will personal stakes cloud objective analysis?
- Access Inequality: Should life-saving research depend on partners with VC connections?
- Validation Gap: How to peer-review AI-generated hypotheses without traditional academia?
Hawaiian sunset before diagnosis (Credit: Andrew Rodriguez)
Andrew acknowledges these concerns but emphasizes transparency: "I'll publish methodologies, data, and failures. If I succeed, it validates decentralized research. If I fail, it exposes where AI still falls short."
The Human Factor
Beyond algorithms, this story underscores medicine's emotional toll. During Amy's recovery, Andrew became her full-time nurse—humidifying air to prevent CSF leaks, navigating r/prolactinoma for coping strategies, and confronting moments like post-op prolactin levels rising despite surgical assurances.
"I promised Amy we'd marry immediately if things worsened," he writes. "That urgency drives me now."
What Comes Next
Andrew invites collaboration through his Substack and VC email, seeking:
- AI-biology researchers to critique approaches
- Neurotech founders exploring tumor pathways
- Grant providers to fund open-access tools
As Amy begins Cabergoline treatment, their story becomes a referendum on whether love-fueled citizen science can move medical needles faster than traditional systems. In Andrew's words: "I don’t care to be known for my intelligence. I want to be known for my capacity to love—and act."

Comments
Please log in or register to join the discussion